Aortic Valve-in-Valve in a Patient with Infective Endocarditis after COVID-19 Infection: A Case Report
Abstract
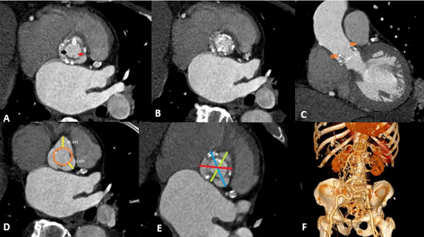
Few cases of transcatheter aortic valve implantation (TAVI) following infective endocarditis (IE) have been reported. In this presentation, we discuss the feasibility of TAVI in a degenerated bioprosthetic valve affected by IE.
We examine a rare case involving an elderly man with a degenerated bioprosthetic aortic valve complicated by IE 6 months after a COVID-19 infection. The patient was successfully treated with valve-in-valve intervention following antibiotic therapy for the acute phase of the infection. This resulted in excellent outcomes with no complications in the early postprocedural period and during follow-up visits.
For patients with a destructed bioprosthetic aortic valve due to IE and residual dysfunction after healing, valve-in-valve intervention can be a safe and effective treatment option, particularly for those at high risk for surgery.
2. Brankovic M, Hashemi A, Ansari J, Sharma A. Transcatheter Aortic Valve Replacement for Aortic Valve Infective Endocarditis: A Systematic Review and Call for Action. Cardiol Ther 12:297-306.
3. Anantha-Narayanan M, Reddy YNV, Sundaram V, Murad MH, Erwin PJ, Baddour LM, Schaff HV, Nishimura RA. Endocarditis risk with bioprosthetic and mechanical valves: systematic review and meta-analysis. Heart 2020;106:1413-1419.
4. De Palo M, Scicchitano P, Malvindi PG, Paparella D. Endocarditis in Patients with Aortic Valve Prosthesis: Comparison between Surgical and Transcatheter Prosthesis. Antibiotics (Basel) 2021;10:50.
5. Santos-Martínez S, Alkhodair A, Nombela-Franco L, Saia F, Muñoz-García AJ, Gutiérrez E, Regueiro A, Jimenez-Diaz VA, Rivero F, Romaguera R, Gómez-Herrero J, Rodriguez-Gabella T, Sathananthan J, Gómez Salvador I, Carrasco-Moraleja M, Rodés-Cabau J, Webb J, López J, San Román JA, Amat-Santos IJ. Transcatheter Aortic Valve Replacement for Residual Lesion of the Aortic Valve Following "Healed" Infective Endocarditis. JACC Cardiovasc Interv 2020;13:1983-1996.
6. Ramos-Martínez A, Fernández-Cruz A, Domínguez F, Forteza A, Cobo M, Sánchez-Romero I, Asensio A. Hospital-acquired infective endocarditis during Covid-19 pandemic. Infect Prev Pract 2020;2:100080.
7. Cosyns B, Motoc A, Arregle F, Habib G. A Plea Not to Forget Infective Endocarditis in COVID-19 Era. JACC Cardiovasc Imaging 2020;13:2470-2471.
8. Shouls G, Bagnall TJ, Pandya B. The "Cooing Pigeon": TAVI for Acute Aortic Regurgitation Secondary to Homograft Degeneration. JACC Case Rep 2020;2:2162-2165.
9. Nguyen C, Cheong AP, Himbert D. Valve-in-valve-in-valve: Treating endocarditis of a transcatheter heart valve. Catheter Cardiovasc Interv 2015;86:E200-204.
| Files | ||
| Issue | Vol 19 No 2 (2024) | |
| Section | Case Report(s) | |
| DOI | https://doi.org/10.18502/jthc.v19i2.16206 | |
| Keywords | ||
| Aortic valve disease Infective endocarditis Transesophageal echocardiography COVID-19 | ||
| Rights and permissions | |
|
This work is licensed under a Creative Commons Attribution-NonCommercial 4.0 International License. |

